
Άννα Λεβή

Υπάρχουν πολλά αίτια που μπορεί να οδηγήσουν σε εναπόθεση χρωστικών στα δόντια. Τα πιο συνηθισμένα συμπεριλαμβάνουν το κάπνισμα ή κατανάλωση τροφών και ποτών με χρωστικές ουσίες όπως καφές, τσάι, σάλτσα σόγιας, βατόμουρα, κόκα κόλα). Εσωτερικές χρώσεις μπορεί να προέρχονται από αντιβιοτικά, όπως οι τετρακυκλίνες, υπερβολική λήψη φθορίου (από το νερό ή σκευάσματα φθορίου), παλιά σφραγίσματα, απονευρωμένα δόντια.
Περισσότερα για Λεύκανση

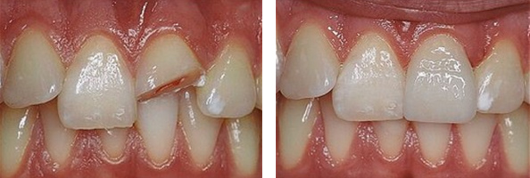
Άριστο αισθητικό αποτέλεσμα έχουν τα ένθετα και επένθετα πορσελάνης, τα οποία πλεονεκτούν ως προς την αντοχή σε σχέση με τα λευκά σφραγίσματα και κατασκευάζονται από το εργαστήριο, είτε από πορσελάνη, είτε από σύνθετη ρητίνη, μετά από τη λήψη αποτυπώματος και χρησιμοποιούνται για να αποκαταστήσουν οπίσθια δόντια.
Περισσότερα για Ένθετα & Επένθετα Πορσελάνης

Οι στεφάνες (θήκες) χρησιμοποιούνται σε περιπτώσεις που είναι απαραίτητη η αισθητική και λειτουργική αποκατάσταση δοντιών με μεγάλη απώλεια οδοντικής ουσίας. Οι στεφάνες ενδείκνυνται όταν θέλουμε να διορθώσουμε το χρώμα ή το σχήμα πρόσθιων κυρίως δοντιών και οι πιο συντηρητικές τεχνικές όπως οι όψεις ή η λεύκανση δεν μπορούν να εφαρμοστούν.
Περισσότερα για Γέφυρες & Στεφάνες

Γενικά, όταν κάποιος είναι σε θέση να κάνει εξαγωγές, μπορεί να βάλει και οδοντικά εμφυτεύματα. Απαραίτητη είναι η ύπαρξη επαρκούς ποσότητας οστού. Ασθενείς που πάσχουν από χρόνια νοσήματα όπως μη ελεγχόμενος σακχαρώδης διαβήτης ή καρδιαγγειακές παθήσεις ή ασθενείς που έχουν υποστεί ακτινοβολία για θεραπευτικούς σκοπούς στην κεφαλή/τράχηλο και χρόνιοι καπνιστές πρέπει να αξιολογηθούν κατά περίπτωση.
Περισσότερα για Χειρουργική Τοποθέτηση Εμφυτευματων